Operation


Vi är specialiserade på kirurgiska sjukdomar och skador i mjukdelar, leder och skelett hos hund och katt. Operationsverksamheten är poliklinisk, dvs du lämnar och hämtar ditt djur samma dag/kväll. Vi utför de flesta kirurgiska ingrepp i mjukdelar t ex knölar i huden, juvertumörer och infekterade livmödrar. Vi utför operationer i leder och skelett, t ex luxerade knäskålar och korsbandsskador hos hund.
Vi ger ditt djur en narkos som är anpassad efter ditt djurs speciella behov. Smärtlindring ges före, eventuellt under och även efter operation. Detta gör att ditt djur har mindre ont efter operationen och därmed tillfrisknar snabbare. Det är vanligt att du som djurägare får fortsätta den smärtlindrande behandlingen i hemmet.
Eftervården sker i hemmet för bästa möjliga trivsel och återhämtning för ditt djur. Du har ständig tillgång till rådfrågning under sårläkningstiden.
Vi utför de flesta operationer i skelett, leder och mjukdelsvävnad. Vanliga sjukdomar/skador som ofta kräver operativa ingrepp är:
Livmoderinflammation hos tik (pyometra)
En av de vanligaste sjukdomarna hos medelålders/äldre tikar är livmoderinflammation. Symptom på livmoderinflammation ses ofta 1-2 månader efter löpning men kan debutera redan under pågående löpning. Tiken kan vara trött och ha nedsatt aptit. Vaginala flytningar är vanligt och ofta ses en ökad törst.
Ibland kan behandling med antibiotika slå ut infektionen men oftast krävs operation då livmoder och äggstockar avlägsnas.
Juvertumörer hos tik
Bröstkörtlarna (juvret) hos tikar står under inflytande av könshormoner. I samband med löpning hos tik kan tumörer i juvret utvecklas. Tumörerna känns som knölar av varierande storlek. Ungefär hälften av juvertumörer hos tik är elakartade. Det är därför viktigt att du låter en veterinär undersöka Din tik om du upptäcker knölar i juvret.
Vi rekommenderar alltid operation av juvertumörer. Är din tik äldre än åtta år röntgenundersöker vi alltid lungorna för att kontrollera att det inte skett någon spridning. För att fastställa om tumören är godartad eller elakartad skickas den bortopererade vävnaden för analys.
Medfödd instabilitet i knäleden (patella-luxation)
Medfödd instabilitet i endera eller båda knälederna ses ffa hos hundar inom dvärghundsraser. Hos den friska hunden bildar två benåsar i nedre änden av lårbenet en fåra i vilken knäskålen ska glida. Instabiliteten hos drabbade hundar beror på dålig utveckling av den inre av de två benåsarna. Detta resulterar i att knäskålen kan glida innanför sin fåra och benet låses i böjställning, sk luxation eller knäskålsupphakning.
Hos hunden visar sig detta i form av att den under promenad plötsligt håller upp ena bakbenet. Hunden kan hoppa på det friska benet under kortare eller längre perioder för att i nästa stund börja belasta det påverkade benet igen då knäskålen halkar på plats igen.
Luxationen kan vara förknippad med smärta. Obehandlat kan patella-luxation vara förenat med mycket obehag för hunden och med tiden orsaka kroniska, smärtande förändringar i knäleden.
Upphakning av knäskålen kan ses redan hos valpen. Hos veterinären görs en bedömning av graden av luxation (grad 1-3). Man avvaktar dock med stabiliserande operation tills skelettet vuxit färdigt vid ca 12 månaders ålder. Vid operation flyttas fästet till knäskålens raka band. Detta resulterar i att knäskålen förhindras att glida snett. Vid behov upprepas operationen på det andra benet.
Korsbandsskada hos hund
Sönderslitning av främre korsbandet är relativt vanligt förekommande hos hundar inom både stora och små raser. Skadan uppkommer genom en överbelastning i knäleden under t ex lek eller jakt och visar sig genom en plötslig måttlig till kraftig hälta på endera bakbenet. Ibland avlastar hunden helt det skadade benet.
Mindre hundar som drabbats av korsbandskada kan ibland behandlas konservativt dvs en läkning och stabilisering i knäleden kan uppnås genom antiinflammatorisk behandling och sträng vila. Större hundar kräver dock nästan utan undantag ett operativt ingrepp för att åstadkomma varaktig stabilitet och återgång till normal funktion i knäleden. Det skadade korsbandets stabiliserande funktion ersätts genom en sk TTA-operation.

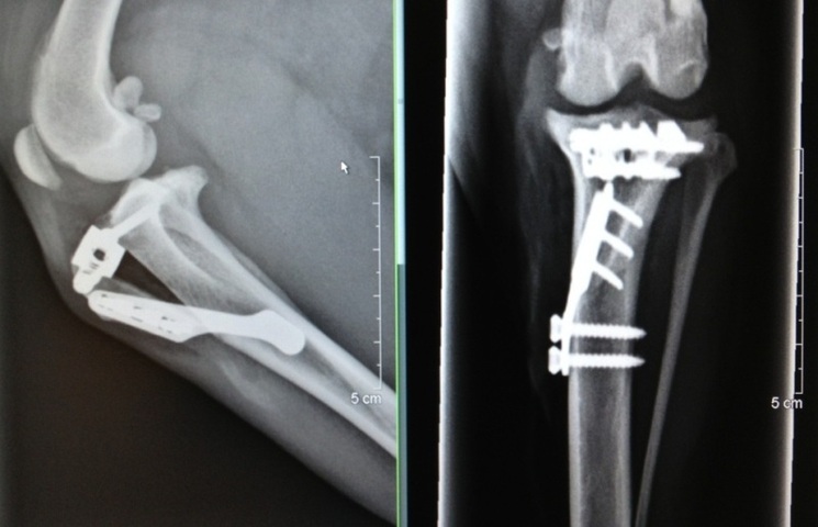
TTA är en modern operationsmetod där benfästet till knäskålens raka band flyttas och fixeras med plattor, distanser och skruvar i titan (se bilden). Resultatet blir en stabilisering av knäleden som ersätter det skadade korsbandet. En stor fördel med operationsmetoden är att den är icke-invasiv, dvs man behöver inte öppna upp knäleden och förhindrar därmed att störning av den känsliga miljön i knäleden. Efter operation är rehabilitering (t ex sjukgymnastik och simning) viktigt för att knäleden ska återgå till normal funktion.
Kronisk analsäcksinflammation hos hund
Analsäckarna är en parig körtel placerad klockan 5 och 7 strax innanför analöppningen. I analsäckarna produceras ett illaluktande sekret som töms genom anus i samband med avföring eller då hunden blir rädd.
Hos hundar med återkommande lös avföring eller hos hundar där analsäckarna anatomiskt är belägna på ett avstånd från ändtarmen, töms inte säckarna fortlöpande. Detta resulterar i en ansamling av sekret i säckarna som är förenat med anal klåda hos hunden. Överfyllnad av analsäckarna kan ge upphov till kraftigt obehag , t ex nedstämdhet, irritation och avvikande beteende, som inte alltid kopplas till problem med analsäckarna. Ett vanligt beteende är dock att hunden hasar på rumpan på en matta inomhus eller på gräsmattan utomhus.
Behandling består i att tömma och eventuellt spola analsäckarna vilket lämpligen utförs av veterinär.
Ibland uppstår en infektion i en överfylld analsäck vilket kan resultera i varbildning, en böld. En varfylld analsäck kan spricka varefter infektionen letar sig ut mot huden och en fistelöppning bildas ur vilken var tömmer sig.
Upprepad överfyllnad av analsäckarna och/eller en varfylld analsäck kan vara anledning till en operation då analsäckarna tas bort.
Halsmandelinflammation (tonsillit) hos hund
Tonsillerna är lymfatisk vävnad samlad i en parig körtelliknande struktur. Tonsillerna deltar i infektionsförsvaret och är belägna i fickbildningar långt bak i svalget.
Tonsillit är en inflammation i halsmandlarna orsakad av virus eller bakterier. Vid bakteriell infektion kan tillståndet liknas vid en halsfluss.
Infektionen orsakar rodnad, svullnad och framfall av halsmandlarna ur sina fickor och är ofta förenad med en märkbar irritation/smärta hos den drabbade hunden. Hunden kan ha nedsatt aptit och visar ofta en ökad benägenhet att äta gräs som den sedan kräks upp. Upprepade klökningar eller upprepade överdrivna sväljningar är vanliga.
Behandling av tonsillit kan vara antibiotika och/eller kortison-behandling. Vid återkommande infektioner eller kroniska tillstånd är det lämpligt att operera bort tonsillerna. Operationen sker under allmän narkos.
Kvarsittande mjölktänder
Precis som barn har valpar mjölktänder. Dessa lossnar under valpens tillväxt och ersätts av permanenta tänder. Hos valpar av ffa dvärghundsraser händer det att en eller flera mjölktänder inte lossnar som de ska. Den kvarsittande mjölktanden kan störa framväxten av den permanenta tanden och även bidra till inpackning av hår och foder mellan tänderna. Därför bör mjölktänder som inte lossnat vid fem månaders ålder opereras bort. Operationen utförs under allmän narkos.
